When It's Just the Tip of the Iceberg

When It's Just the Tip of the Iceberg

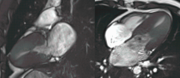
This 57-years old presented with acute chest pain. She was diagnosed to have a non-STEMI infarct. Coronary angiography and echo were done. Based on the echo findings, an MRI was done, which uncovered a myriad of findings.

The video explains the rest.